We are here to treat your dental emergency

Smile Gallery

All-on-X

Before

The image shows a person s smiling face with teeth visible, focusing on dental health or cosmetic dentistry services.

After

The image shows a person with a wide smile displaying their teeth, set against a neutral background.

Before

The image shows a close-up of an individual s smile with teeth showing, including a partial denture on the lower front teeth.

After

The image shows a close-up of a person s smiling face with teeth and gums visible.

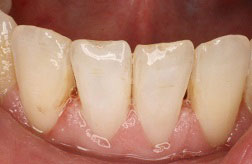
Gingival Depigmentation Categories

Before

The image displays a close-up view of a person s teeth with a focus on an upper front tooth that appears to be damaged, possibly due to decay or injury, with a visible hole and discoloration.

After

The image shows a close-up view of a person s mouth with teeth, some of which are discolored with pink stains, against a neutral background.

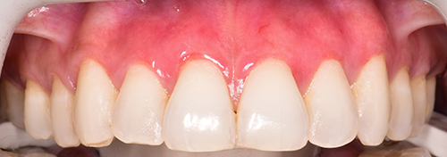
In Office Bleaching

Before

The image shows a close-up view of a person s smiling mouth with teeth, which appears to be a dental advertisement focusing on teeth whitening services.

After

The image features a close-up of a person s face smiling with white teeth, showcasing their oral hygiene.

Internal Bleaching

Before

The image shows a close-up view of a person s mouth with a partial denture missing a tooth, revealing a gap between two teeth.

After

The image shows a close-up view of a person s mouth with visible dental work, including teeth with fillings and possibly veneers, set against a background that appears to be a medical or dental office environment.

In Office Cleaning

Before

The image shows a close-up of a person s mouth with crooked teeth and a pinkish-red hue, likely due to lipstick or lip stain.

After

The image shows a close-up of teeth with yellowish staining, set against a blurred background that suggests a person s face, focusing on the mouth area.

Chairside Bondings

Before

The image shows a close-up of a person s mouth displaying a set of teeth with visible dental work, including crowns and possibly braces, against a dark background that highlights the teeth.

After

The image shows a close-up view of a person s teeth, focusing on an upper front tooth with visible wear and discoloration, against a blurred background that appears to be a mouth.

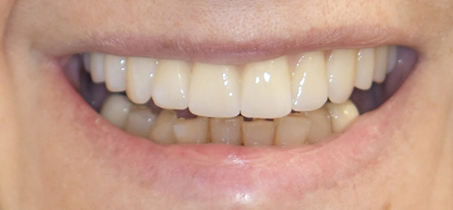
Invisalign® - Clear Braces

Before

The image shows a close-up of a person s smile with their teeth clearly visible, set against a background where only the top portion of the person s face is visible, starting from the nose downwards.

After

The image shows a close-up of a person s smiling face with teeth, featuring a wide smile and visible gums.

Same Day Porcelain Fillings

Before

The image shows a close-up view of a person s mouth with multiple teeth missing, revealing exposed gum tissue and an area of decay or infection.

After

The image displays a close-up view of a person s mouth with teeth showing, which includes a set of dentures with visible wear and tear.

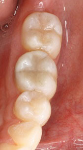
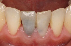
Same Day Porcelain Crowns

Before

A close-up view of a mouth with an upper tooth that has been damaged, revealing a silver filling inside.

After

The image shows a close-up view of dental work being performed, with a focus on a tooth that has been repaired or restored, featuring a filling material that appears to be in the process of setting or curing.